• Стоматологический центр << BEZPALIUK DENTAL CLINIC >>
Bezpaliuk Dental Clinic Киев, ул. Жилянская 82/20б
Bezpaliuk Dental Clinic

Костюк Кристина Андреевна

Врач терапевт

Врач стоматолог-терапевт Костюк Кристина Андреевна является настоящим профессионалом в своем деле. Она отличается высоким уровнем компетентности и преданностью своим пациентам. Основными направлениями работы Кристины Андреевны есть лечение кариеса, проведение отбеливания зубов, реставрация поврежденных зубов и профессиональная гигиена полости рта. Она всегда ставит пациента во главу угла и стремится обеспечить им лучшие стоматологические результаты.

Доктор Кристина подходит к каждому случаю с усердием и внимательностью. Она обладает современными методами и технологиями, помогающими добиваться наилучших результатов в лечении и реставрации зубов. Врач также понимает важность гигиены полости рта для общего здоровья и регулярно дает пациентам советы по поддержанию здоровых зубов и десен. Врач стоматолог-терапевт Костюк Кристина Андреевна всегда открыта к сотрудничеству со своими пациентами и прилагает все усилия, чтобы обеспечить их комфортное и безопасное лечение. Она является настоящим специалистом, на которого можно положиться и всегда готова помочь пациентам сохранить их улыбки и здоровье.

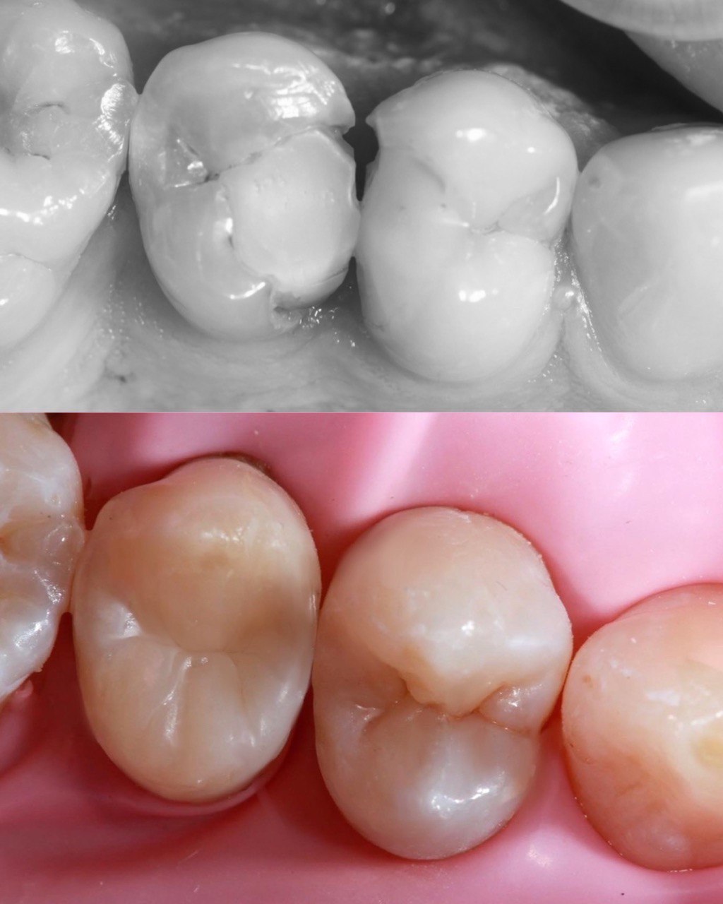
Фото работ:

Спасибо за Ваше сообщение:)
Наш менеджер ответит Вам в ближайшее время!
Спасибо за Ваш отзыв:)
Ваше мнение очень важно для нас!