• Стоматологічний центр << BEZPALIUK DENTAL CLINIC >>
Bezpaliuk Dental Clinic Київ, вул. Жилянська 82/20б
Bezpaliuk Dental Clinic

Костюк Крістіна Андріївна

Лікар терапевт

Лікар стоматолог-терапевт Костюк Крістіна Андріївна, є справжнім професіоналом у своїй справі. Вона відзначається високим рівнем компетентності та відданістю своїм пацієнтам.
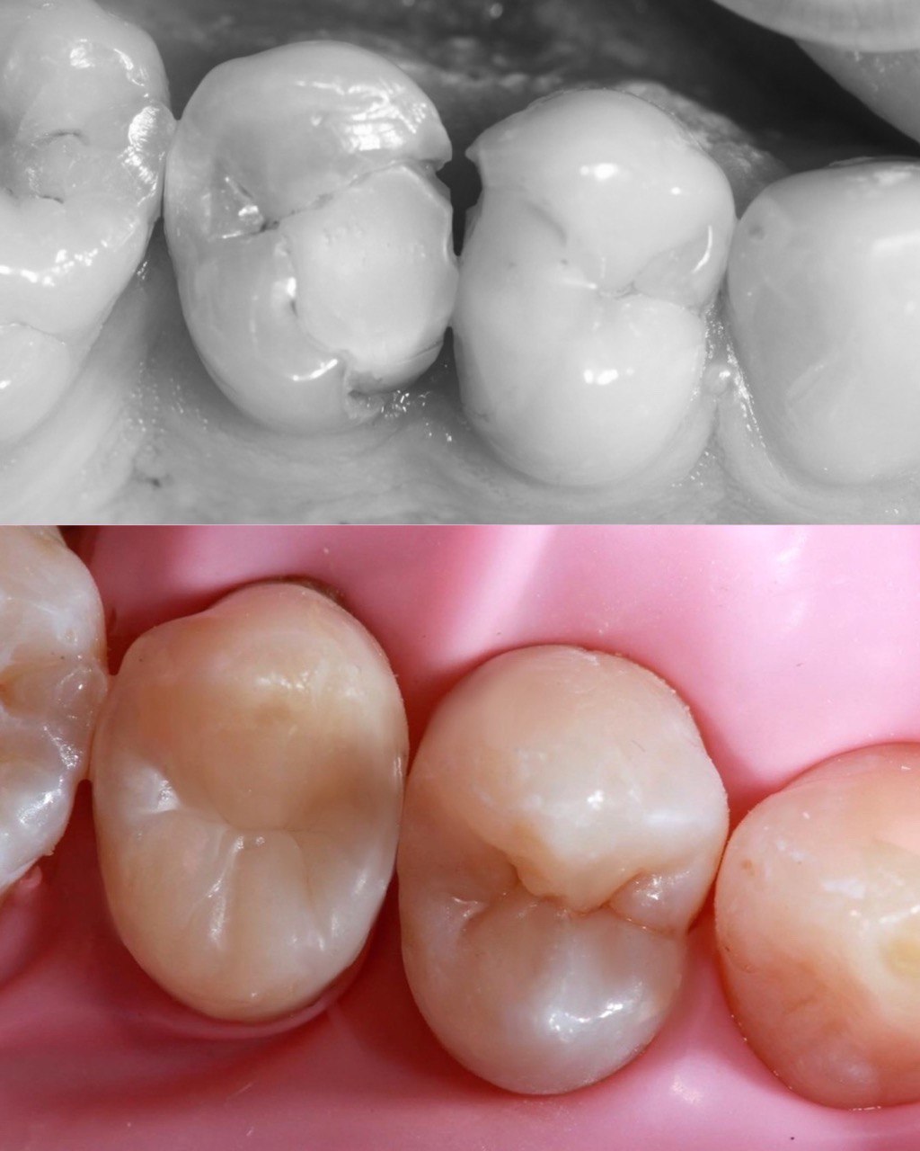
Основними напрямками роботи Крістіни Андріївни є лікування карієсу, проведення відбілювання зубів, реставрація пошкоджених зубів та професійна гігієна порожнини рота. Вона завжди ставить пацієнта на перше місце та прагне забезпечити їм найкращі стоматологічні результати.

Пані Крістіна підходить до кожного випадку із ретельністю та уважністю. Вона володіє сучасними методами і технологіями, які допомагають досягати найкращих результатів в лікуванні та реставрації зубів. Лікар також розуміє важливість гігієни порожнини рота для загального здоров’я, і регулярно надає пацієнтам поради щодо підтримання здорових зубів та ясен. Лікар стоматолог-терапевт Костюк Крістіна Андріївна, завжди відкрита до співпраці зі своїми пацієнтами та докладає всіх зусиль, щоб забезпечити їхнє комфортне та безпечне лікування. Вона є справжнім фахівцем, на якого можна покластися, і завжди готова допомогти пацієнтам зберегти їхні посмішки та здоров’я.

Фото робіт:

 

Дякуємо за Ваше повідомлення:)
Наш менеджер відповість Вам найближчим часом!
Дякуємо за Ваш відгук:)
Ваша думка дуже важлива для нас!